プランのご紹介
シリーズ最高画質によるストレスない検査環境の提供
EVIS X1ビデオシステムセンターCV-1500と経鼻内視鏡GIF-1200Nの組合せにより、経口内視鏡と遜色ない画質での観察が可能に。色再現性の高い白色光、明るいNBI観察で日々のスクリーニング検査をサポートします。
EVIS X1×GIF-1200N 症例画像
-
-
下部食道
-
下部食道 NBI
-
-
-
穹窿部
-
胃体上部大弯
-
-
-
胃体上部小弯~噴門
-
胃角部小弯
-
-
-
前庭部
-
十二指腸
-
-
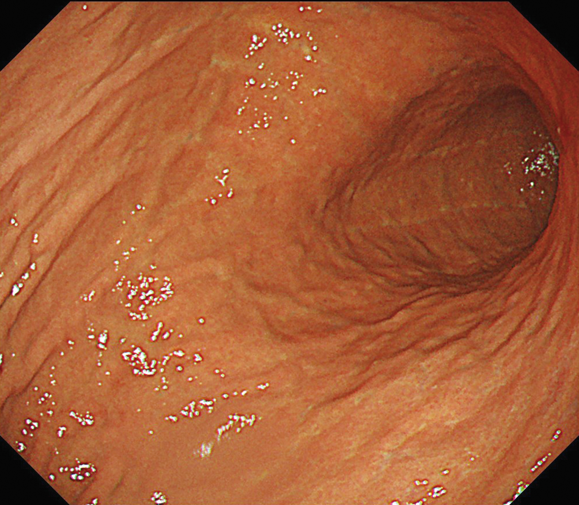
胃体部 見下ろし観察
1視野で体上部から胃角まで明るい視野での観察に貢献する
-
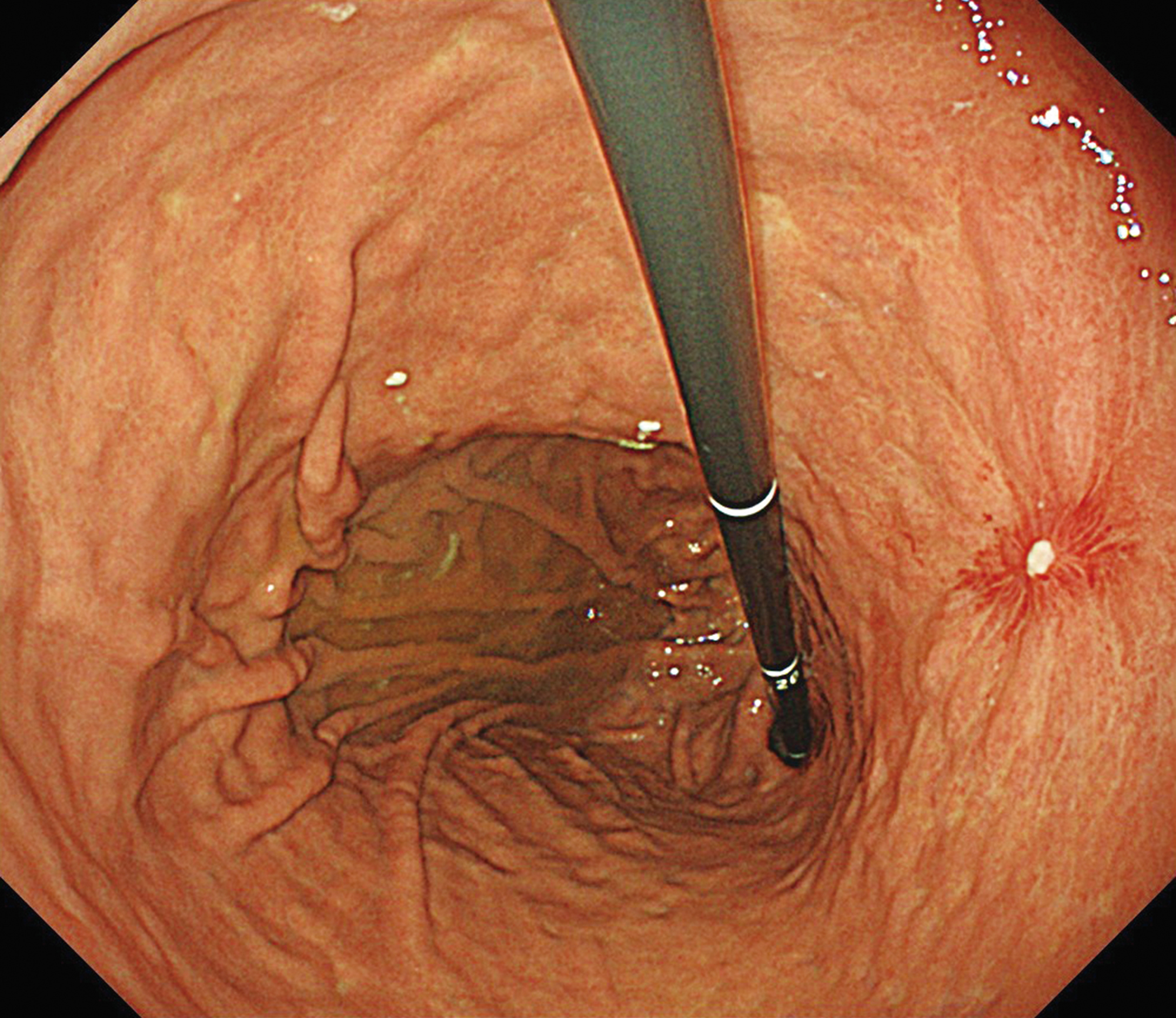
胃体部 見上げ観察 胃潰瘍症例
1視野で体下部から噴門部まで明るい視野での観察に貢献する
内視鏡システムの画質比較
同じスコープを使用し異なる内視鏡システムと組み合わせた場合
アドバンスドテクノロジーを用いた
画像強調による豊富な観察機能
- Texture and Color Enhancement Imaging
TXI
TXIは、通常光の情報に基づき、「明るさ補正」「テクスチャー強調」「色調強調」の3つの要素を最適化する画像技術です。
-
- Brightness Adjustment Imaging with Maintenance of Contrast
BAI-MAC
RDIはRed、Amber、Greenの狭帯域光を用いることで深部組織のコントラストを形成する、光デジタル技術を用いた当社独自の画像強調観察技術です。
-

