• Alt tag Alt tag

    医療従事者向けコンテンツ

    NBI+TXI Clinical Library

  • 鹿児島大学大学院 消化器疾患・生活習慣病学 前田 英仁 先生
  • 前田 英仁 先生

    鹿児島大学大学院 消化器疾患・生活習慣病学

EVIS X1 基本設定情報

  • EVIS X1
  • BAI-MAC:ON
    WLI:A7
    NBI:B8
    TXI:mode 1 / レベル 中
    NBI+TXI:レベル 中

症例情報①

使用スコープ:GIF-EZ1500
症例所見:病変1:早期胃癌【M(食道癌)-2-O, Less, 8mm, cType0-Ⅱa, cT1a(M)】
     少し肛門側に病変2:早期胃癌【M(食道癌)-2-O, Less, 20mm, cType0-Ⅱa, cT1a(M)】
観察部位:胃管
患者情報:85歳男性
既往歴:食道癌術後, 胃管再建術後, Helicobacter pylori現感染


症例画像

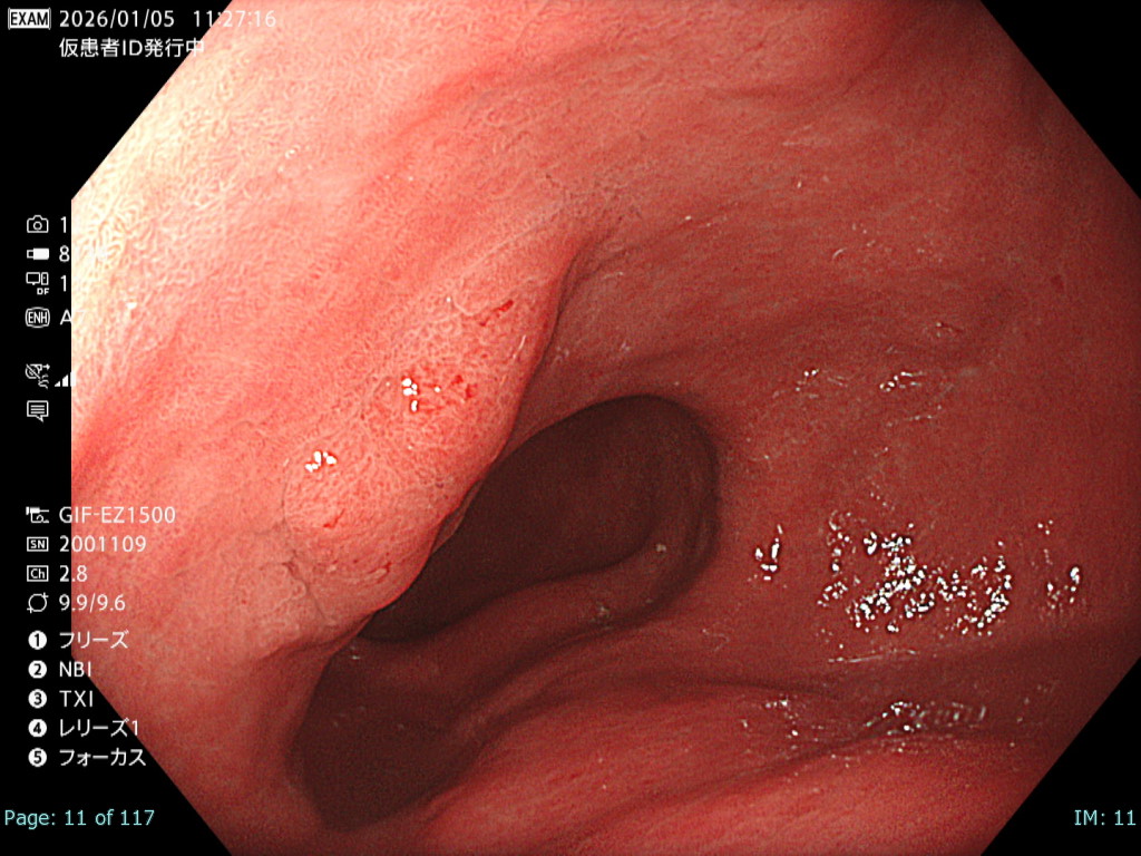
  • 白色光観察①(近景)
    強調設定:A7

    図2

    本病変は易出血性であり、血液洗浄後に観察・撮影できる時間は極めて短かったが、表面構造および色調を損なうことなく病変が明瞭に描出されている。記録画像として再評価にも十分耐え得る内視鏡画像である。

  • 白色光観察②(中遠景)
    強調設定:A7

    図1

    白色光非拡大観察では画面全体に良好なフォーカスが得られており、さらにBAI-MAC機能により深部まで十分な明るさが確保されている。そのため、2病変の性状および位置関係を正確に把握することが可能である。

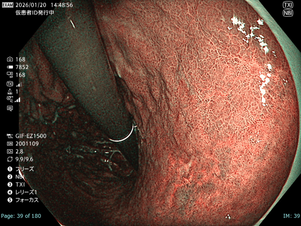
  • NBI観察①(中遠景)
    強調設定:B8
     

    図3

    観察中に出血が増加し、頻回の洗浄が必要となった。さらに胃管症例であったことから咳嗽が出現し、霧が生じるなど観察条件は不良であった。

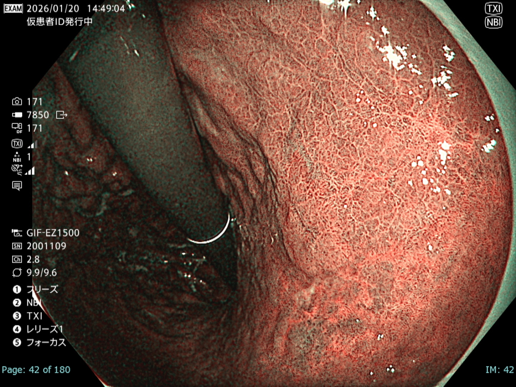
  • NBI+TXI観察① (中遠景)
    切替前 NBI強調設定:B8
    NBI+TXIレベル:中 

    図4

    前述のとおり厳しい状況下でも、NBI+TXI観察モードは、NBI観察と比較して病変をよりシャープに描出出来ると感じた。

  • NBI観察②(拡大)
    強調設定:B8
     

    図5

    病変は易出血性で観察難易度が高く、NBI拡大観察では微小血管構築像は視認可能であるものの、出血の影響で一部で輪郭が不鮮明となった。

  • NBI+TXI観察② (拡大)
    切替前 NBI強調設定:B8
    NBI+TXIレベル:中 

    図6

    出血の影響を受ける条件下でも、NBI+TXI拡大観察は、NBI拡大観察と比較し、微小血管構築像がより明瞭になる印象だった。

  • NBI観察③(拡大)
    強調設定:B8
     

    図7

    NBI拡大観察では粘液の付着により微小血管構築像の一部が確認困難となった。

  • NBI+TXI観察③(拡大)
    切替前 NBI強調設定:B8
    NBI+TXIレベル:中 

    図8

    粘液を介した状況でも、NBI+TXI拡大観察は、NBI拡大観察と比較し微小血管構築像をよりクリアに観察することが可能と感じた。

  • NBI+TXI観察④(拡大)
    切替前 NBI強調設定:B8
    NBI+TXIレベル:中 

    図9

    血液の影響を排除するため水中観察による評価を行った。水中観察は右手でシリンジを押して送水しながら左手で拡大レバーを操作するなど一定の熟練を要する手技であるが、GIF-EZ1500はDual Focusでピント調整が容易であるため、ストレスなく強拡大観察を行うことができた。


症例動画

症例は85歳男性。胃管再建術後に発生した早期胃癌の症例である。内視鏡挿入時、胃管壁には残渣の沈着を認め、背景粘膜の炎症を認めた。さらに病変は易出血性で、観察中に粘液も生じやすいなど、内視鏡観察としては極めて不良な条件下であり、いわゆる「きれいな」写真を残すことが難しく、検者として嫌な汗をかく症例であった。
このような状況においても、GIF-EZ1500のEDOF機能、Dual Focus機能、さらにNBI+TXI観察を行うことで、炎症や出血の影響を受けやすい環境下でも、第3者が見ても診断及び評価可能な内視鏡画像を記録することができた。


全体コメント

NBI+TXI観察は、従来のNBI観察と比較して、特に微小血管構築像をより鮮明に描出できる。通常条件下でもその有用性は実感されるが、今回の提示症例は、術後胃で背景粘膜の炎症が強く、易出血性で粘液も生じやすいという、日常診療で遭遇する、検者が観察に難渋する状況を示している。内視鏡検査において重要なのは、その場で観察する検者のみならず、記録画像を再評価する第三者にとっても診断可能な質の高い画像を残すことである。本症例では、EDOFによる広範囲に焦点が合った画像取得と、Dual Focusによる迅速かつ容易なピント調整が可能なGIF-EZ1500を用い、NBI+TXI観察を行った。その結果、このような日常診療で遭遇する観察不良条件下においても、診断に耐えうる内視鏡画像を安定して記録することが可能であった。以上より、本機能は、実臨床のストレスフルな観察環境においても安定した診断支援が期待でき、経験の浅い検者にとっても扱いやすい観察モードであると考えます。

症例情報②

使用スコープ:GIF-EZ1500
症例所見:体中部小弯後壁よりの15mm大の胃腺腫
観察部位:胃
患者情報:77歳男性
既往歴:Helicobacter pylori除菌後


症例画像

  • 白色光観察①(中遠景)
    強調設定:A7

    図1

    体中部小弯後壁よりに褪色調のⅡa様病変を認めた。白色光観察では境界の診断は困難であった。

  • NBI観察①(中遠景)
    強調設定:B8
     

    図2

    構造強調設定B8によるNBI観察では、病変はbrownishな領域として描出され、境界はある程度明瞭となる印象だった。

  • NBI+TXI観察① (中遠景)
    切替前 NBI強調設定:B8
    NBI+TXIレベル:中 

    図3

    前述のとおりNBI観察でも病変境界はある程度明瞭となったが、NBI+TXI観察へ変更すると、brownishな色調がより強調され、病変の境界は一層明瞭となり、範囲診断に効果的であると感じた。

  • NBI観察②(中遠景)
    強調設定:A5
     

    図4

    構造強調設定A5によるNBI観察では、病変のbrownishな色調のコントラストが弱くなった。

  • NBI+TXI観察②(中遠景)
    切替前 NBI強調設定:A5
    NBI+TXIレベル:中 

    図5

    NBI+TXI観察でも同様の所見であった。

  • NBI観察③(中遠景)
    強調設定:A8
     

    図6

    構造強調設定A8によるNBI観察では、病変のbrownishな色調のコントラストが弱くなった。

  • NBI+TXI観察③(中遠景)
    切替前 NBI強調設定:A8
    NBI+TXIレベル:中 

    図7

    NBI+TXI観察でも同様の所見であった。

  • NBI観察④(拡大)
    強調設定:B8
     

    図8

    NBI弱拡大観察では、EDOFにより広範囲に焦点が合った画像を取得できるため、demarcationlineの診断が容易であった。

  • NBI+TXI観察④(拡大)
    切替前 NBI強調設定:B8
    NBI+TXIレベル:中 

    図9

    NBI+TXI弱拡大観察では、微小血管構築像がより明瞭に観察可能と感じ、より自信をもったdemarcation lineの診断に繋がると期待された。

  • NBI観察⑤(拡大)
    強調設定:B8
     

    図10

    NBI強拡大観察を行った。水中観察は右手でシリンジを押して送水しながら左手で拡大レバーを操作するなど一定の熟練を要する手技であるが、GIF-EZ1500はDualFocusでピント調整が容易であるため、ストレスなく強拡大観察を行うことができた。

  • NBI+TXI観察⑤(拡大)
    切替前 NBI強調設定:B8
    NBI+TXIレベル:中 

    図11

    NBI+TXI強拡大観察では、微小血管構築像がより明瞭となる印象だった。


症例動画

症例は77歳男性。体中部小弯後壁よりの15mm大の胃腺腫の症例である。Helicobacterpylori除菌を行うも病変が残存し、増大傾向を認めたとのことで内視鏡的粘膜下層剥離術を行う方針となった。白色光観察では、褪色調のⅡa様病変として描出され、病変の境界は不明瞭であった。しかし、NBI観察にてbrownishな領域として描出され、NBI+TXI観察ではより強調された。いくつかの画像強調設定を比較したが、B8が最もバランスよく表現されていた。さらに、GIF-EZ1500のEDOFによりNBI+TXI弱拡大観察において全体像を保ったままdemarcationlineを診断することができた。加えて、強拡大観察にはDualFocusにより、ストレスを感じることなく強拡大観察を行うことができた。


全体コメント

NBI+TXI観察は、従来のNBI観察と比較して、特に微小血管構築像をより鮮明に描出できると感じる。今回の提示症例は、境界診断が困難な症例であったが、NBI+TXI観察にてbrownishな色調が強調され、病変の境界は明瞭となる印象だった。その程度を構造強調設定をB8、A5、A8にてそれぞれ検討したところ、A5およびA8では周囲粘膜とのコントラストが弱くなり、B8はバランスよく表現されていたため、B8が最も適した観察条件であると考えられた。さらに、GIF-EZ1500のEDOF機能とNBI+TXI観察の組み合わせは、境界が不明瞭な病変においても診断精度の向上に寄与し、検者が自信を持って質的診断を行うことができる有用な機能であると考えられた。

  • ピックアップ製品

    ピックアップ製品はこちらから閲覧できます。

遷移先ページは学術情報を含みます