• 千葉大学大学院医学研究院 消化器内科学 石川 翼 先生
  • 石川 翼 先生

    千葉大学医学部附属病院

EVIS X1 基本設定情報

  • EVIS X1
  • BAI-MAC:ON
    WLI:A7
    NBI:A7
    TXI:mode 1 / レベル 高
    NBI+TXI:レベル 高

症例情報

使用スコープ:GIF-XZ1200, PCF-H290ZI
症例初見:食道表在癌、大腸腺腫、十二指腸腺腫
観察部位:食道、大腸、十二指腸
 


画像強調内視鏡

消化器分野における軟性内視鏡の一技術としての画像強調内視鏡(IEE)は有用であり内視鏡観察のモダリティーとして広く普及してきた。IEEの中にはデジタル法(LCI、TXIなど)、光デジタル法(NBI, BLI, RDIなど)およびコントラスト法(インジゴカルミン溶液散布)や染色法(ピオクタニン染色など)が存在する。光学的な技術としてはデジタル法や光デジタル法が主であり、主に病変の存在診断や質的診断に有用とされ普及してきた過去がある。 近年オリンパスメディカルシステムズ株式会社よりリリースされた内視鏡用光源システムEVIS X1は最新式のLED光源を備えたシステムであり新たな色味としてAmber色を加えたことで、Violet, Blue, Green, Amber, Redの5色光源となった。白色光ではこれらすべてを同時に、あるいは面順次に照射することで画像を得る仕組みである。面順次色においてはViolet/ Blue, Green, Amber/Redの3組の色調が照射される。NBIはこれらのうち、Amber/Redをフィルターによってカットすることで短波長帯の狭帯光を照射し腫瘍の識別や拡大観察による表面微細構造の観察を容易とする。TXIは比較的新規のIEEである。このモードでは照射される光色帯については白色光と同一であるものの、取得した画像をテクスチャー画像とベース画像に分割し、それぞれテクスチャー強調(従来の構造強調とは異なる)および明度の調整をかけることで全体的に明るく構造の視認しやすいTXI mode2が出力される。そして, さらに色彩の強調をかけることで色調の変化を強くしたTXI mode1が出力される仕組みである。


NBI+TXI

今回オリンパスメディカルシステムズ株式会社より新規にリリースされることとなった、NBI+TXIモードはこれらの技術を統合したものであり今後の内視鏡検査および診断において非常に期待されるモードである。元来、NBIはそのHbの波長による吸収特性から血管の視認がしやすく血管の多い腫瘍はbrownishに見えるなどの特徴が報告されてきた. また照射する波長の特性から対象物の表面構造がしやすいという特徴をもつ. 本モードではNBIの利点をTXI mode2の要領でさらに際立たせたものとなっている。元々NBIにおいて構築された診断体系は崩さないまま, 対象の輪郭や構造を際立たせることで拡大観察における質的診断や非拡大観察における病変発見などに寄与することが期待される。


TXIの概略図

白色光から得られた画像に対してテクスチャ強調、明度の改善、色彩強調などがかけられる。


NBI+TXIの概略図

TXIでの入力画像がNBIで得られた画像となり、TXI mode2の画像強調技術が適応される。


症例画像

食道表在癌のNBI画像(左)およびNBI+TXI画像(右)の比較

NBI+TXIでは明度の上昇や輪郭の強調により腫瘍の存在が強調される。

  • 図1
  • 図1

(2組)食道表在癌の拡大観察時の画像

NBI(左)よりもNBI+TXI(右)ではIPCLが強調されており、より明瞭に観察される。

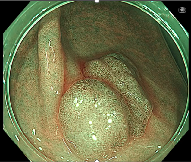
  • 図3 図5
  • 図4 図6

大腸腺腫の画像

NBI(左)よりNBI+TXI(右)では表面構造や血管の視認性が向上している。

  • 図7
  • 図8

十二指腸腸型腺腫の拡大画像

NBI(左)に比べてNBI+TXI(右)ではWOSの形態が明瞭化している

  • 図9
  • 図10

症例動画

動画では、食道表在癌、大腸腺腫、および十二指腸腺腫に対する内視鏡観察時の様子を供覧する。 NBI+TXIモードを用いた観察では視認対象の輪郭がより強調されるとともに画面全体の明度が上がることで遠景における病変の視認性の向上や、拡大観察時の構造物の視認性が向上するように感じられる。


全体コメント

【画像強調内視鏡】
消化器分野における軟性内視鏡の一技術としての画像強調内視鏡(IEE)は有用であり内視鏡観察のモダリティーとして広く普及してきた。IEEの中にはデジタル法(LCI、TXIなど)、光デジタル法(NBI, BLI, RDIなど)およびコントラスト法(インジゴカルミン溶液散布)や染色法(ピオクタニン染色など)が存在する。光学的な技術としてはデジタル法や光デジタル法が主であり、主に病変の存在診断や質的診断に有用とされ普及してきた過去がある。 近年、オリンパスメディカルシステムズ株式会社の内視鏡用光源システムでは、新たな色味としてAmber色を加えたことで、Violet, Blue, Green, Amber, Redの5色光源となった。白色光ではこれらすべてを同時に、あるいは面順次に照射することで画像を得る仕組みである。面順次色においてはViolet/ Blue, Green, Amber/Redの3組の色調が照射される。NBIはこれらのうち、Amber/Redをフィルターによってカットすることで短波長帯の狭帯光を照射し腫瘍の識別や拡大観察による表面微細構造の観察を容易とする。TXIは比較的新規のIEEである。このモードでは照射される光色帯については白色光と同一であるものの、取得した画像をテクスチャー画像とベース画像に分割し、それぞれテクスチャー強調(従来の構造強調とは異なる)および明度の調整をかけることで全体的に明るく構造の視認しやすいTXI mode2が出力される。そして, さらに色彩の強調をかけることで色調の変化を強くしたTXI mode1が出力される仕組みである。 


【NBI+TXIモード】
NBI+TXIモードはこれらの技術を統合したものであり今後の内視鏡検査および診断において非常に期待されるモードである。元来、NBIはそのHbの波長による吸収特性から血管の視認がしやすく血管の多い腫瘍はbrownishに見えるなどの特徴が報告されてきた. また照射する波長の特性から対象物の表面構造がしやすいという特徴をもつ. 本モードではNBIの利点をTXI mode2の要領でさらに際立たせたものとなっている。元々NBIにおいて構築された診断体系は崩さないまま, 対象の輪郭や構造を際立たせることで拡大観察における質的診断や非拡大観察における病変発見などに寄与することが期待される。

Contact

製品のデモ依頼やWeb面談など、
各種お問い合わせはこちらからお願いします。

遷移先ページは学術情報を含みます