• 旭川医科大学 内科学講座 消化器内科学分野 高橋 慶太郎 先生
  • 高橋 慶太郎 先生

    旭川医科大学 内科学講座 消化器内科学分野

EVIS X1 基本設定情報

  • EVIS X1
  • BAI-MAC:ON
    WLI:A8
    NBI:B8
    TXI:mode 1 / レベル 高
    NBI+TXI:レベル 高

症例情報

使用スコープ:GIF-EZ1500
症例初見:前庭部小彎, 15mm, 0-Ⅱc, cT1a
観察部位:胃前庭部小彎
患者情報:70歳代男性
既往歴:胃悪性リンパ腫に対して化学療法および局所放射線療法後


症例画像

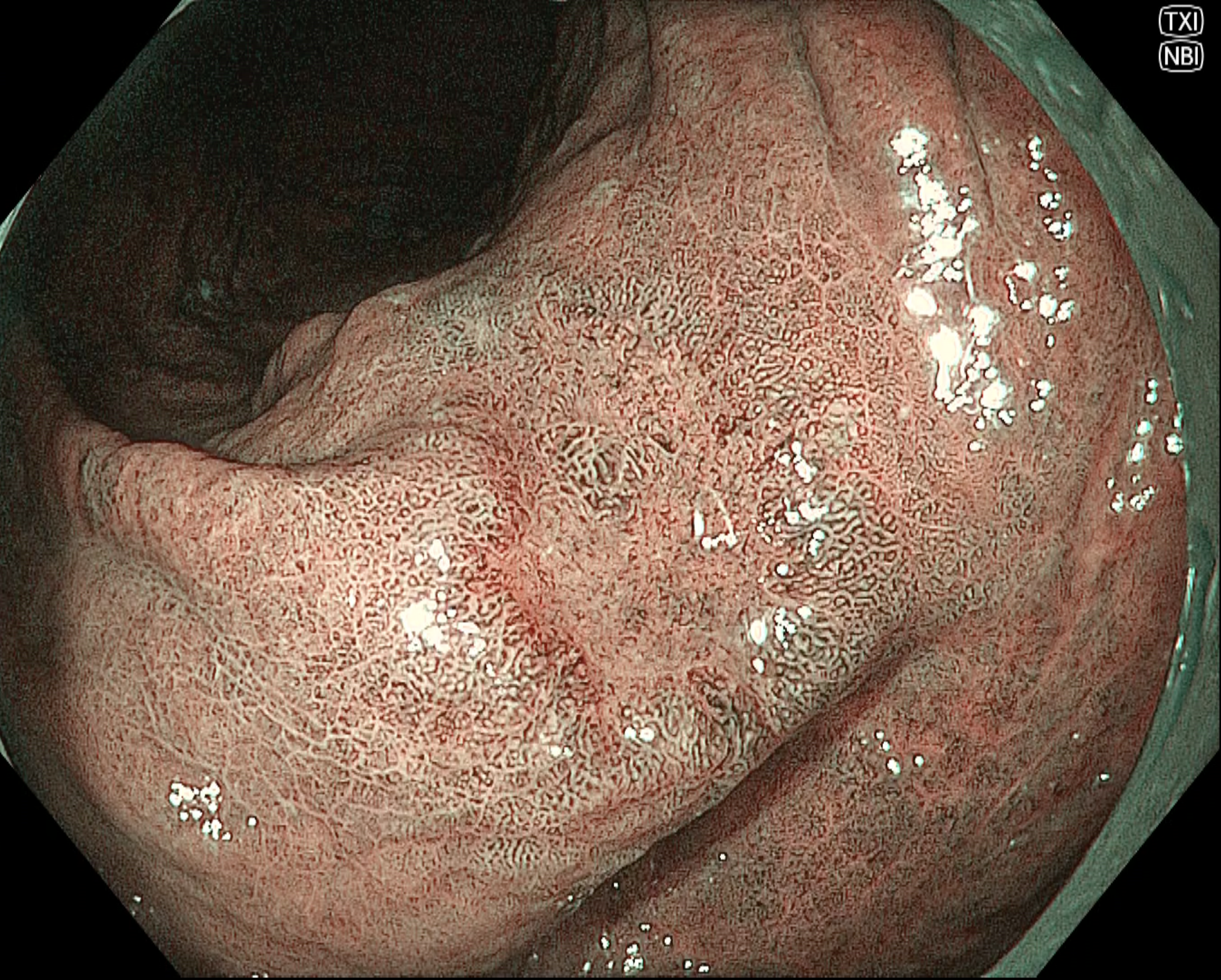
  • 白色光観察(中遠景)
    強調設定:A8

    図1

    胃前庭部後壁に悪性リンパ腫治療後の瘢痕および襞集中像、幽門輪の変形を認める。病変部は前庭部小彎に位置し、15mm大の発赤調陥凹性病変である。

  • NBI観察(中遠景)
    強調設定:B8
     

    図1

    NBI観察では陥凹性病変の辺縁隆起部は褐色調を呈しており、白色光観察と比較して病変境界を視認しやすい。

  • NBI+TXI観察(中遠景)
    切替前 NBI強調設定:B8
    NBI+TXIレベル:高 

    図3

    NBI+TXIモードでは辺縁隆起部の褐色調がより強調されることで、境界の視認性が一層向上し、病変範囲の同定が容易となっている。

  • NBI観察(近接拡大)
    強調設定:B8
     

    図4

    NBIを併用した近接拡大(near focus)観察では病変部と非病変部の境界(Demarcation line;DL)を全周で確認できる。腫瘍肛門側の表面微細構造は不鮮明化、口側には不整な管状構造、その境界部には生検による再生粘膜を認める。

  • NBI+TXI観察(拡大)
    切替前 NBI強調設定:B8
    NBI+TXIレベル:高 

    図5

    NBI+TXIモードでは従来のNBI観察よりもwhite zoneの輪郭が明瞭化し、血管の色調も強調され、DLがより認識しやすい。陥凹内部の表面微細構造は不整であり、悪性の診断は可能であるが、不鮮明化部分の組織型診断にはさらなる拡大観察を要する。

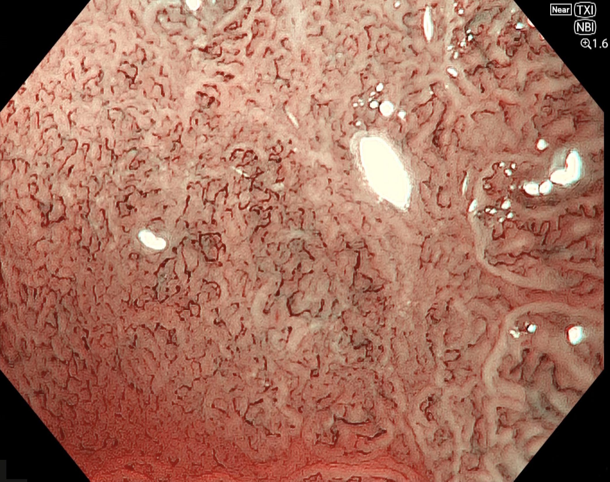
  • NBI観察(電子拡大)
    強調設定:B8
     

    図6

    near focusモードに電子拡大1.6倍を併用することで、腫瘍肛門側における表面微細構造および微小血管構築像の詳細観察が可能となっている。

  • NBI+TXI観察(電子拡大)
    切替前 NBI強調設定:B8
    NBI+TXIレベル:高 

    図7

    NBI+TXIモード(near focus+電子拡大1.6倍)では、従来のNBI観察と比較して、white zone の白色調および輪郭が明瞭に見える印象があり、近接拡大時に不鮮明と捉えていた部位でも不整な管状構造が描出されるように感じられた。また、血管色調も強調されて見え、口径不同や形状不均一の評価がより行いやすい印象であった。 irregular mesh pattern や wavy micro‑vessels といった中分化あるいは未分化型腺癌を疑う所見は認めず、高分化型腺癌と診断した。

  • NBI観察(電子拡大)
    強調設定:B8
     

    図8

    腫瘍口側におけるNBI併用拡大画像(near focus+電子拡大1.4倍)を提示する。

  • NBI+TXI観察(電子拡大)
    切替前 NBI強調設定:B8
    NBI+TXIレベル:高 

    図9

    NBI+TXIモードでは、背景粘膜に緑色の腸上皮化生を疑う所見(light blue crest を伴う green epithelium)を認め、腫瘍部の brownish area との色調差が相対的に強調されていた。また、表面構造の輪郭が明瞭に見えるため、従来のNBI観察と比較して、病変の境界や不整な腺管構造をより認識しやすい。肛門側同様に高分化型腺癌を示唆する所見である。


症例動画

胃前庭部小彎に15mm大の発赤調陥凹性病変を認める。従来のNBI観察でも陥凹性病変の境界は描出でされるが、NBI+TXIモードでは、境界の輪郭や色調差が相対的に強調され、境界の把握がしやすいと感じられた。 GIF‑EZ1500ではボタン操作でNear focusモードに切り替えて近接拡大観察を行うことができる。EDOF機能により、従来機種のNear focusでは困難であった近点および遠点双方に焦点が合った画像が得られ、近接拡大時にも鮮明な画像の取得が可能である。 NBI+TXIモードでは、TXIレベルの上昇に伴い、white zoneの輪郭が明瞭に感じられ、血管の色調の差異も視認しやすくなる印象があり、従来のNBI観察と比較した際にはDemarcation lineの把握が相対的に容易と感じられた。Near focusモードによる近接拡大観察でも良悪性の鑑別診断は可能であるが、組織型診断に必要な表面微細構造および微小血管構築像の詳細な評価には電子拡大の併用が有用である。near focusモードでフリーズ後に電子拡大を追加することにより、十分な拡大倍率の画像が得られる。画像のブレなどが気になる場合には、near focus+電子拡大1.4倍で観察およびフリーズを行った後、1.6倍へ切り替えることで、より安定した高倍率画像の取得が可能である。さらに、電子拡大にNBI+TXIモードを併用することで、white zoneの白色調および輪郭、血管の色調が明瞭に見え、詳細な組織型診断に有用と感じられた。


全体コメント

胃悪性リンパ腫治療後の経過観察目的に内視鏡検査を施行。胃前庭部小彎に15mm大の発赤調陥凹性病変を認めた。非拡大のNBI+TXIモードでは、辺縁隆起部の褐色調が相対的に強調され、従来のNBI観察と比較すると、境界の視認性が良好で、病変範囲を把握しやすいと感じられた。 NBI併用の近接拡大(near focus)観察では、表面微細構造は肛門側で不鮮明化し、口側では不整な管状構造を認め、その境界部には生検による再生粘膜を認めた。near focusモードでも良悪性の鑑別は可能と考えられたが、本症例では不鮮明部の組織型評価により詳細な観察が必要であった。 near focusモードに電子拡大(1.6倍)を併用し、NBI+TXIモードで観察すると、従来のNBI観察と比較して、white zone の白色調および輪郭が相対的に明瞭に見え、血管の色調差も視認しやすい印象があった。その結果、近接拡大時に不鮮明であった部位でも不整な管状構造が描出され、血管の口径不同や形状不均一の評価がより容易となった。 irregular mesh pattern や wavy micro-vessels など中分化あるいは未分化型腺癌を示唆する所見は認めず、高分化型腺癌と診断した。 以上のように、GIF‑EZ1500ではボタン操作でNear focusモードに切り替えて近接拡大観察が可能であり、NBI+TXIモードでは、従来のNBIと比較してwhite zoneおよび血管の描出が相対的に視認しやすい印象であった。 さらに電子拡大の併用は組織型診断の精度向上に寄与する可能性がある。 スクリーニングから精査まで一連の観察が可能な本機種において、NBI+TXIの併用は視認性が向上し、病変検出や精査時の評価に貢献すると感じた。

Contact

製品のデモ依頼やWeb面談など、
各種お問い合わせはこちらからお願いします。

遷移先ページは学術情報を含みます