深部への挿入をよりスムーズに
進化したシングルバルーン内視鏡
-
従来と同じ外径*のスコープに3.2mmの鉗子チャンネルを搭載
SIF-H190は、従来と同じ先端外径ながら3.2mm径のワイドな鉗子チャンネルを搭載。処置具を挿入した状態でも充分な吸引性能を保ちます。
*従来機種 SIF-Q260
-
-
「受動湾曲」・「高伝達挿入部」搭載により進化した操作性
腸管にスコープがあたると自然に曲がる「受動湾曲」機能を搭載。小腸内の急峻な屈曲部もスムーズに通過し、検査効率の向上と患者さまの苦痛軽減に貢献します。
また、「高伝達挿入部」は押し引き・捻りの動作を効率的に先端部に伝えるため、診断・処置中でも操作や位置決めのしやすさをサポートします。 -
-
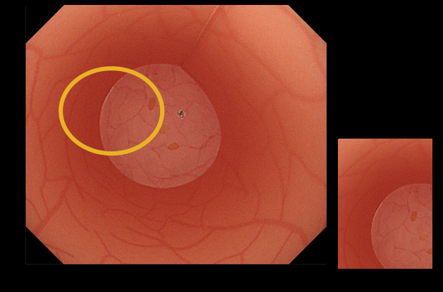
鮮明でクリアなHD画像
SIF-H190は、高精細CCDを先端部に搭載。より鮮明でディテールの豊かな内視鏡画像により、観察精度の向上に寄与します。
-
-
SIF-H190×EVIS X1
-
SIF-Q260×ELITE
-
SIF-H190×EVIS X1
-
SIF-Q260×ELITE
-
製品仕様
| 光学系 | 視野角(最大対角) | 140° |
|---|---|---|
| 視野方向 | 0°(直視) | |
| 観察深度 | 3~100mm | |
| 挿入部 | 先端部外径 | ø 9.2mm |
| 軟性部外径 | ø 9.2mm | |
| 有効長 | 2,000mm | |
| 鉗子チャンネル | チャンネル径 | ø 3.2mm |
| 最小可視距離 | 3mm(内視鏡先端部からの距離) | |
| 内視鏡画面上での処置具の見え方 | ![]() |
|
| 湾曲部 | 湾曲角 | Up 180°/Down 180°/Right 160°/Left 160° |
| 全長 | 2,280mm | |
| 互換システム | ビデオシステムセンター CV-1500(EVIS X1) ビデオシステムセンター CV-190Plus(EVIS EXERAⅢ) |
|

