最大520倍の生体内細胞観察を実現
顕微鏡レベルの高倍率かつ、
高精細な画像が診断精度の向上に貢献
従来同様の拡大ズームレバー操作で通常観察→拡大観察→Endocyto観察が実現
従来型拡大スコープと同様のマニュアルズーム機能を搭載しました。1本のスコープで通常観察から、拡大観察、そしてEndocyto観察(EC観察)まで可能です。
Endocyto観察原理
適切な薬剤で細胞核を染色した後、対物レンズを観察部位に接触させ粘膜表層の細胞を観察します。ライトガイドから出た光が生体内部に散乱光として取り込まれることにより、粘膜表層の細胞組織等が観察できます。
EC観察とEC-NBI観察
手元側の押し引きやトルクの先端部への伝達性向上を図った高伝達挿入部、および挿入部の硬さを変更可能な硬度可変機能も搭載。最大倍率520倍の光学ズームに、これらオリンパス独自の挿入アシスト機能を加え、観察・挿入をサポートします。
スコープ径12.8 ㎜。副送水機能搭載。
-
EC観察
-
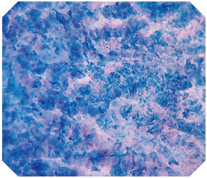
非腫瘍(大腸)
-
非腫瘍(大腸)
-
-
EC-NBI観察
-
非腫瘍(大腸)
-
非腫瘍(大腸)
-
製品仕様
| 光学系 | 視野角 | 通常観察時:140° |
|---|---|---|
| 視野方向 | 0°(直視) | |
| 観察深度 | 通常観察時:7~100mm | |
| 挿入部 | 先端部外径 | ø 12.8mm |
| 先端部拡大図 | ![]() |
|
| 軟性部外径 | ø 12.8mm | |
| 有効長 | 1330mm | |
| 鉗子 チャンネル |
チャンネル最小径 | ø 3.2mm |
| 最小可視距離 | 4mm | |
| 内視鏡画面上での処置具の見え方 | ![]() |
|
| 副送水 チャンネル | 副送水の視野内での見え方 | ![]() |
| 湾曲部 | 湾曲角 | Up180° / Down 180 / Right 160° / Left 160° |
| 全長 | 1665mm | |
| 互換システム | ビデオシステムセンター CV-1500(EVIS X1) ビデオシステムセンター CV-290 高輝度光源装置 CLV-290SL, CLV-290(EVIS LUCERA ELITE) |
|



