学術情報
-
-
Aplio i800 EUS関連コンテンツ
Aplio i800 EUSに関連する医療動画などの学術情報はこちらから閲覧できます。
超音波内視鏡検査を新たな次元へ
最先端のEUSのニーズに応えるため、Aplio i800 EUSは深達度と解像度を高め、
検査効率と診断に役立つ高度なツールによりパワフルなイメージング性能を提供します。
キヤノンとオリンパスのパートナーシップが未来のEUS分野をより明るくします。
-
ワンランク上の超音波イメージング
超音波画像診断の新たな可能性
Aplio i800 EUSは、深部まで高精細で革新的な画像技術を提供します。
解像度と深部透過性を高めた鮮明な画像と豊富なアプリケーションにより、
迅速に信頼性の高い診断技術を提供します。 -
-
Differential THI(D-THI)
2つの周波数を合成して送信し、その差音と高調波による広帯域なハーモニック成分を画像化します。 深部まで高分解能・高コントラスト・低アーチファクトな 画像を提供します。
-
- Differential THI(D-THI)
- Full Focus
- iBeam+
-
先進的な胆膵・肝臓
アプリケーションツール信頼性をさらに高めるツールとの連携
Aplio i800 EUSは超音波内視鏡とEUS向けの画像処理技術、
そして先進的なアプリケーションの搭載により、診断の信頼性向上に貢献します。 -
-
Contrast Harmonic Imaging (CHI)
超音波造影剤に適した低音圧イメージングに対応します。 膵胆道系疾患や局所性肝臓病変の詳細な評価への応用が期待されます。
-
-
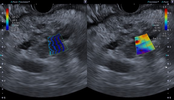
Shear wave Elastgraphy (SWE)
せん断波の伝播速度を測定し、組織の硬さを2次元的に数値やカラーマップで表示・計測を行えます。
-
-
Superb Micro-vascular Imaging (SMI)
微細で低速な血流を捉える血流イメージングです。カラードプ ラでは描出困難であった低流速血流を高感度、高分解能、高フレームレート、低アーチファクトに描出できます。
-
-
Smart 3D
超音波内視鏡で再構築したシネメモリ画像を利用して3D 画像データ(ボリュームデータ)の生成と表示を行います。
-
-
幅広い使用環境に適用可能な設計
カスタマイズによる最適な使用環境の実現
Aplio i800 EUSは術者や使用環境にあわせたカスタマイズが可能です。
さらに、操作しやすくセットアップも簡便に行えます。 -
-
エルゴノミクス
操作パネル・タッチコマンドスクリーン・観察用モニタの角度や 位置・高さを調整することで、快適な検査をサポートします。
-
ナビゲーション
スクリーン上のナビゲーションが様々な動作を可能にし、 直観的な操作と調整をサポートします。
Aplio i800 EUS 製品仕様
互換機器 | 超音波内視鏡 | GF-UE290、GF-UCT260 | |
体表プローブ | PVI-475BX、PVI-475BT、PVI-574BX、PVI-482BX、PVI-450BXP、 PLI-1205BX、PLI-605BX | ||
超音波機能 | 周波数 | 3.5、7.5、10 | |
計測 | 距離、面積、角度、用量、速度、流量、ドプラートレース | ||
モニタ | 有機ELモニタ | 21.6インチ | |
視野角 | 178° | ||
出力 | ビデオ出力 | DVI、S-Video、HDMI、コンポジット、SDI | |
外部記憶装置 | CD-R、DVD、USB、外部HDD、バーコードリーダー | ||
ネットワーク | LAN | ||
画像管理 | 静止画保存 | 可能 | |
動画保存 | 可能 | ||
シネメモリ | 可能 | ||
DICOM | 可能 | ||
外形寸法 | 大きさ | 631(W)×1177~1757 (H)×969~1069(D)mm | |
質量 | 約115kg | ||
電源 | 電圧 | 220~240 VAC(欧州その他の地域2) | |
電圧変動 | ±10%以内 | ||
周波数 | 50/60Hz | ||
周波数変動 | ±1Hz以内 | ||
消費電力 | 1500VA | ||
分類 | 感電に対する保護形式 | クラスⅠ | |
装着部の感電に対する保護等級 | BF形装着部品* | ||
爆発に対する保護等級 | 超音波システムは電気製品です。 | ||
組み合わせスコープ
体表プローブ ラインアップ
- PVI-475BX
- PVI-475BT
- PVI-574BX
- PVI-482BX
- PVI-450BXP
- PLI-1205BX
- PLI-605BX
製品情報
-
-
販売名 コンベックス式電子スキャンプローブ i8CX1 PVI-475BX 医療機器番号 228ABBZX00023000 製造販売元 キヤノンメディカルシステムズ株式会社
-
-
販売名 コンベックス式電子スキャンプローブ i8C1 PVI-475BT 医療機器番号 228ABBZX00024000 製造販売元 キヤノンメディカルシステムズ株式会社
-
-
販売名 コンベックス式電子スキャンプローブ i10CX1 PVI-574BX 医療機器番号 230ABBZX00063000 製造販売元 キヤノンメディカルシステムズ株式会社
-
-
販売名 コンベックス式電子スキャンプローブ i8MCX1 PVI-482BX 医療機器番号 231ABBZX00025000 製造販売元 キヤノンメディカルシステムズ株式会社
-
-
販売名 穿刺プローブ i8CXP1 PVI-450BXP 医療機器番号 231ABBZX00026000 製造販売元 キヤノンメディカルシステムズ株式会社
-
-
販売名 リニア式電子スキャンプローブ i18LX5 PLI-1205BX 医療機器番号 228ABBZX00025000 製造販売元 キヤノンメディカルシステムズ株式会社
-
-
販売名 リニア式電子スキャンプローブ i9LX2 PLI-605BX 医療機器番号 302ABBZX00045000 製造販売元 キヤノンメディカルシステムズ株式会社






