• Alt tag Alt tag

    医療従事者向けコンテンツ

    ADR特集見落としを減らす大腸内視鏡観察のポイント

  • 国立がん研究センター東病院
    新村 健介 先生

見落としを減らす大腸内視鏡観察のポイント

 大腸内視鏡検査を行ううえで、最も注意すべき点は「病変の見落とし」である。大腸内視鏡検査は大腸癌死の予防におけるゴールドスタンダードである一方、すべての腫瘍性病変を一度の検査で完全に拾い上げることは容易ではない。実際、post-colonoscopy colorectal cancer(PCCRC)の約60%は、検査時に存在していた病変の見落としに起因すると考えられている。PCCRCの発生は患者予後に大きな影響を及ぼすのみならず、内視鏡検査の質そのものが問われる問題でもある。したがって、見落としを最小限に抑える観察技術の習得は、すべての内視鏡医に共通する重要な課題である。
 本稿では、日常診療で最も基本となる白色光観察に焦点を当て、見落としを減らすための観察のポイントについて概説する。なお、画像強調内視鏡観察やAIシステム、先端アタッチメントを用いた観察については、豊嶋先生および奥村先生の各章を参照されたい。

1.見落としやすい部位を知る

 大腸内には解剖学的構造や生理的屈曲により、病変を見落としやすい部位が存在する。これらをあらかじめ認識し、部位ごとに観察方法を工夫することが重要である。
 盲腸では、虫垂開口部周囲や回盲弁の裏側が死角となりやすい(※Figure1)。盲腸底部から全体を俯瞰するように観察し、回盲弁は唇裂部を意識して十分に送気・近接観察を行うことが重要である(※Figure2)。 
 上行結腸は半月ひだが発達しており、ひだ裏が見落としの原因となりやすい。アングル操作を十分に用い、ひだを倒すようにスコープを動かしながら、ゆっくりと抜去観察を行う。送気量をやや減らすことで、ひだ裏に隠れていた病変が視認しやすくなることもある。また、ひだ裏を観察するために反転観察が有用だとする報告もある。しかし右側結腸で反転観察を追加する観察法と、前方視の観察を2 回行う観察法のランダム化比較試験を対象としたメタ解析では,前方視の観察群と比べて反転観察群で追加発見が少ない傾向を認めたと報告されている。このように,ひだ裏をみるために反転観察を追加することも大切であるが、前方視の観察を丁寧に繰り返すだけでも病変が新たに描出できる可能性があることを心にとめておく必要がある。
 肝彎曲部・脾彎曲部は屈曲が強く、スコープが一気に抜けてしまい観察が不十分になりやすい部位である。一度通過した後も再度挿入し、往復するような動きで丁寧に観察することがいいと思われる。彎曲部ではpush操作で屈曲部が伸展し見えやすくなることがある(※Figure3)。
 S状結腸は挿入時に短縮されやすいため、抜去時には腸管が折り畳まれ死角が生じやすい。十分な送気により腸管を伸展させ、アングル操作や前後の操作を繰り返しながら観察することが重要である。
 直腸では、特に肛門側(肛門管)や側壁が死角となりやすい。直腸Rbでは必要に応じて反転を含めた多方向からの観察を行うことで見落としを防ぐコツである。

2.病変の特徴を知る

 白色光観察においては、「明らかな隆起」を探すのではなく、正常粘膜とのわずかな違いに気づく視点が重要である。佐野病院 佐野寧先生らのグループが提唱しているFIND clues(ひだの変形、便・粘液付着、血管透見不良、限局した発赤領域)は、病変を示唆する重要なサインである。特に表面型病変や鋸歯状病変は、平坦で目立ちにくく、見逃されやすい。疑わしい所見を認めた場合には、まず病変表面を十分に洗浄し、粘液や残渣を除去したうえで再評価することが基本である。病変の存在を疑った場合はインジゴカルミン散布も有効な手段と考える。

3.鎮痙薬の使用

 白色光観察においては、「明らかな隆起」を探すのではなく、正常粘膜とのわずかな違いに気づく視点が重要である。佐野病院 佐野寧先生らのグループが提唱しているFIND clues(ひだの変形、便・粘液付着、血管透見不良、限局した発赤領域)は、病変を示唆する重要なサインである。特に表面型病変や鋸歯状病変は、平坦で目立ちにくく、見逃されやすい。疑わしい所見を認めた場合には、まず病変表面を十分に洗浄し、粘液や残渣を除去したうえで再評価することが基本である。病変の存在を疑った場合はインジゴカルミン散布も有効な手段と考える。

4.観察時の体位変換

 体位変換は、簡便でありながら見落とし防止に有効な手段である。体位を変えることで腸管内の空気や残液の分布が変化し、これまで死角となっていた部位が観察可能となる。特に上行結腸や下行結腸では、半側臥位でも視野の改善が期待できる(※Figure4)。

5.腸管洗浄

 観察中に残渣や胆汁が付着している場合には、積極的な洗浄が必要である。water jet 機能付きスコープを用いることで、効率的に大腸粘膜表面を洗浄し、病変の存在を明瞭にすることができる。良好な洗浄状態を維持することは、見落としを減らすための前提条件である。

6.新しい世代の内視鏡システムの使用

 近年、新世代の内視鏡システム(X1シリーズ)では、5色LEDを用いた内視鏡光源システム、CMOSセンサー搭載の内視鏡スコープ、4Kモニターの組み合わせにより、白色光観察そのものの視認性が大きく向上していると考える。 これらの技術的進歩により、粘膜表面の微細な色調変化や凹凸構造がより明瞭に描出され、病変の検出能向上が期待される。


設定情報

スコープ:CF-XZ1200DI
構造強調:A5

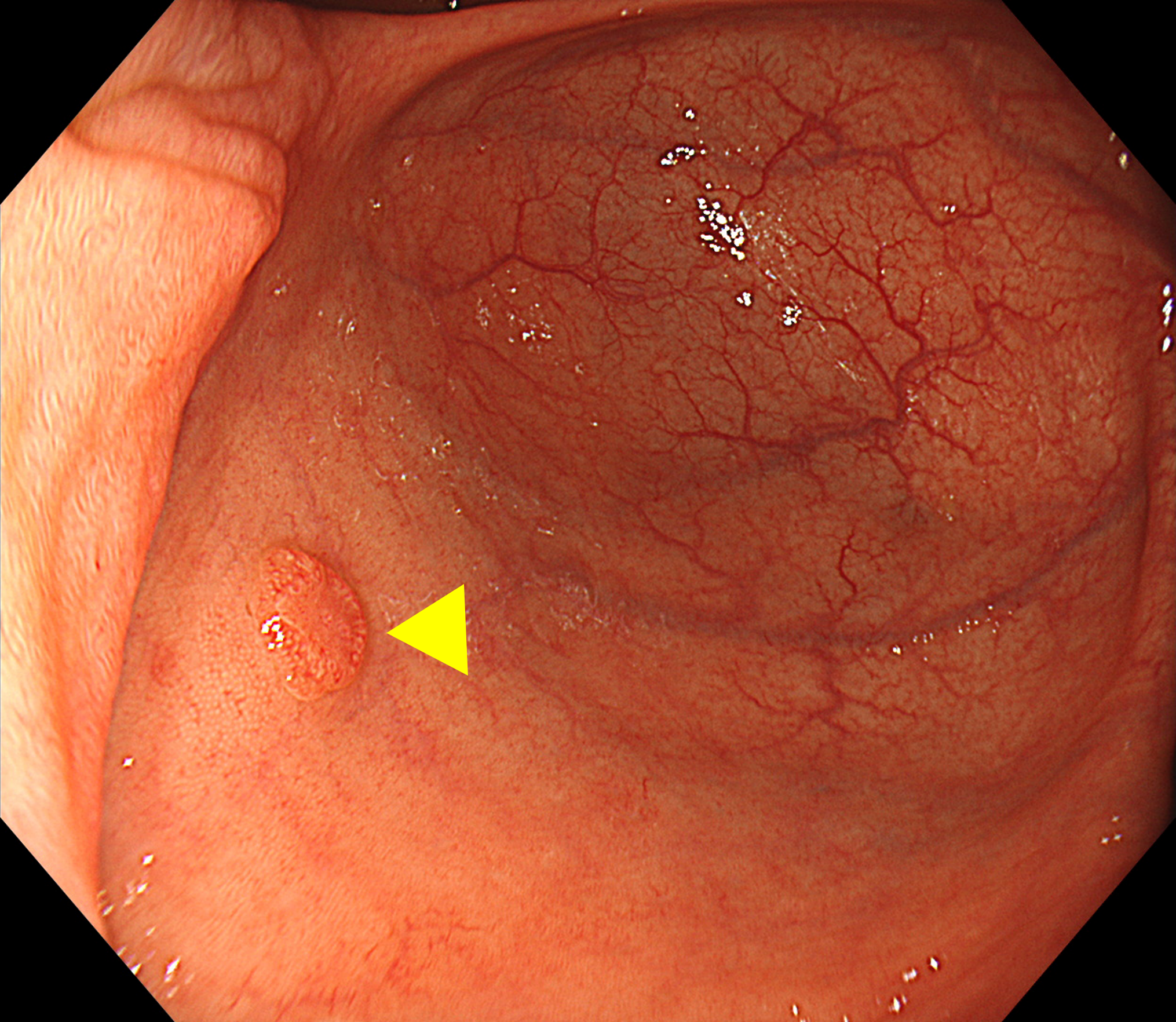
  • ※Figure 1. 虫垂口に入り込む病変

  • ※Figure 2. 回盲弁下唇裏側にある0-Ⅱa病変
    (a) 回盲弁正面視(病変は見えない)

  •  
    (b) 回盲弁下唇裏側をめくるように観察

  • ※Figure 3. 脾彎曲部の観察
    (a) 抜去してくるのみだと屈曲部のひだ裏が観察しづらい

  •  
    (b)Pushすると管腔が開き、ひだ裏が観察しやすくなる

  • ※Figure 4. 下行結腸の観察(体位変換)
    (a) 通常の送気量で観察するが管腔は伸展しない

  •  
    (b)通常の送気量のまま半右側臥位ですることで管腔が伸展する

Contact

製品のデモ依頼やWeb面談など、
各種お問い合わせはこちらからお願いします。

遷移先ページは学術情報を含みます