医療従事者コンテンツ
EVIS X1 Case Report 炎症、腫瘍性病変の視認性を向上させたTXIの有用性
はじめに
-
-
名古屋市立大学大学院 医学研究科 消化器・代謝内科学 西江 裕忠 先生
胃の内視鏡スクリーニング検査についてEVIS X1と極細径内視鏡「GIF-1200N」のご使用経験をご報告をいただいております。また、NBIやTXIを活用した胃の炎症の観察、白色光観察との比較についても言及いただいております。
胃のスクリーニングにおけるGIF-1200N (GoXsai) の有用性
従来、内視鏡スクリーニング検査では,低侵襲かつ精度の高い検査が求められてきました。低侵襲という意味では、内視鏡挿入時の苦痛を軽減するために鼻から内視鏡を挿入する、経鼻内視鏡検査が健診スクリーニングなど筆頭に広く普及しています。また,諸事情により経鼻的な挿入ができず経口挿入となった場合でも、挿入時の苦痛を軽減し得る細径内視鏡の需要が高まっています。このように内視鏡スクリーニング検査に求められる低侵襲性は極細径内視鏡を使用することによりある程度達成できておりましたが、やはり通常径内視鏡と比較すると画質が劣る点が、精度の高いスクリーニング検査を行う上で改善課題でした。
もちろん近年の細径内視鏡の画質の向上は目覚ましいものがあり、世代を重ねる毎に画質、操作性が改善され、GIF-XP290Nではハイビジョン画像に迫る画質と先端5.4mmと極細径でありながらコシのある操作性がありました。しかし、通常径内視鏡と比較するとどうしてもその画質の違いは認めざるを得ず、細径内視鏡スクリーニングは通常径内視鏡検査より精度が低くなるのはやむを得ない、と多くの内視鏡医が考えていたのが実情だと思います。
このジレンマを解消すべく2020年3月に登場したのが、次世代細径内視鏡GIF-1200Nです。GIF-1200N はGIF-XP290Nを超える明るくノイズの少ないハイビジョン高精細画像で観察ができ、一方で先端部を太くすることなく5.4mmと極細径を維持しつつ挿入時の苦痛を犠牲にすることはありません。実際に従来の細径内視鏡では良い意味ではコシがあったのですが、咽頭から梨状窩を超える際にはやや硬さを感じていましたが、GIF-1200Nの経鼻での挿入時にはそのような硬さを感じることはなく、非常に滑らかに挿入が可能です。さらに、GIF-XP290Nまでの細径内視鏡では、胃噴門部の反転観察をする際に、アップアングルを最大にしても不十分に感じることがあり、左右アングルの共同で何とか観察をすることもありました。GIF-1200Nではカタログ上のアップアングル角は210度従来と変更はありませんが先端部分以外の剛性を変更したことにより反転操作の視認性が向上していると感じました (図a)。このようにGIF-1200Nを使用することにより、内視鏡スクリーニング検査において求められる低侵襲および高精度の検査が可能となったと言えると感じています。
尚、見出しにある「GoXsai」には「細さを極める(極×細)」,「彩を極める(極×彩)」という意味が込められており、ハイビジョン画質かつ極細径の内視鏡に相応しい愛称であると感じています。
-
-
-
GoXsai使用時の胃のスクリーニング
NBIおよびTXIを併用したGoXsaiでの胃の炎症の見え方
またGIF-1200Nとほぼ同時期にEIVIS LUCELAの次世代機であるEVIS X1内視鏡システムが発売され、従来からのNBIに加え、TXI(TeXture and color enhancement Imaging)やRDI(Red Dichromatic Imaging)が画像強調処理機構として追加されました。RDIは他稿に譲りますが、今回はNBIおよびTXI を併用したGIF-1200Nでの胃の炎症の見え方について私の印象を述べます。
まず、従来NBI観察では主に拡大観察を併用することにより胃粘膜の微細血管構造、表面微細構造を評価し早期胃癌の診断や、腫瘍の病変範囲診断に有用な観察法として広く普及しておりますが、その名の通り、白色光に比較し波長の短い狭帯域光を使用する性質上、特に遠景が暗くなり視認性が低下することが問題でした。EVIS X1およびGIF-1200NでのNBI観察では、従来と比較し遠景の明るさが向上したために遠方の視認性が向上し、かつハイビジョン画像処理により近景の表在構造、血管が明瞭に確認できるようになりました(図c)。
さらに、EVIS X1に搭載されたTXI では、通常光の情報に基づき、「明るさ補正」、「構造協調」、「色調強調」の3つの要素を最適化する画像強調処理が行われます。特にTXI モード 1では3つの要素を処理することにより粘膜表面の微細な構造、色調変化をとらえることが容易になります。このため胃炎の観察においては微細な表面凹凸変化、炎症による発赤、萎縮性変化による退色調変化が画像強調されることにより炎症・萎縮境界が明瞭になります(図d)。
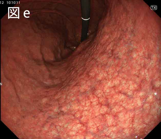
一方で、強調画像での観察には一定の「慣れ」が必要であり、強調画像での連続観察には抵抗がある方も多いのが実情かと思います。私もまずは白色光観察を行い、強調画像での検査は補助的に行っているのですが、そのような私でも今回のTXI のモードの一つである、TXI モード 2は非常に受け入れやすい強調画像がと感じています。TXI モード2は上記TXI モード 1の色調強調を行っていないモードですが、いい意味での画像強調感がなく、白色光観察と比較してもスクリーニングとして使用しやすいモードと感じています(図e)
-
炎症時のWLI・NBIでの比較動画
会員限定コンテンツ
続きは会員限定コンテンツのため、ログインまたは会員登録が必要です。
ピックアップ製品
ピックアップ製品はこちらから閲覧できます。
ピックアップ製品はこちら
遷移先ページは製品情報を含みます