CF-XZ1200 臨床画像/動画~EVIS X1 Endoscopist Interview~
提供:国立がん研究センター東病院 消化管内視鏡科 池松 弘朗 先生
(動画1)XZ1200による白色光およびNBI下の中遠景観察
(動画2)XZ1200による腫瘍・非腫瘍鑑別(NBI拡大観察)
(動画3)XZ1200による大腸深達度診断(NBI拡大観察・色素拡大観察)
(別図1)XZ1200によるインジゴカルミン撒布後の白色光拡大観察像とTXI拡大観察像の比較

(別図2)XZ1200によるクリスタルバイオレット染色後の白色光拡大観察像(上段)とRDI拡大観察像(下段)の比較

(別図3)図1~3の全画像(再掲)および池松先生のCV-1500設定値
〈図1〉XZ1200による同一病変に対する中遠景観察像(a)白色光観察; (b)TXI観察(モード1)
〈図2〉 XZ1200による同一病変に対するNBI中遠景観察像(a)BAI-MAC OFF; (b)BAI-MAC ON
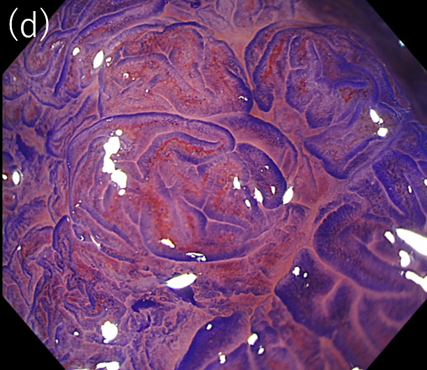
〈図3〉 XZ1200による30mm大Is+IIa(LST-G)病変
(病理診断:Adenocarcinoma, tub1, in tubular adenoma, pTis, Ly0, V0)に対する観察像
(a)白色光中遠景観察像
(b)NBI拡大観察像(JNET分類:Type 2A)
(c)インジゴカルミン散布後の拡大観察像
(d)クリスタルバイオレット染色後の拡大観察像(pit pattern:Ⅳ)
・池松先生の観察設定値
WLI構造強調 | A5/A8/A3 |
---|---|
NBI構造強調 | A8/A5/B8 |
測光モード | Peak |
スコープスイッチ | 1.フリーズ |
2.測光モード | |
3.NBI | |
4.レリーズ |