プランのご紹介
シリーズを超えた互換性
EVIS X1、EVIS EXERAⅢ、EVIS LUCERA ELITEそれぞれのシリーズを超えたスコープとの組み合わせでも高画質でストレスの少ない検査環境を提供
・EVIS LUCERA ELITEは販売終了製品となります。
優れたコストパフォーマンス
「内視鏡システムのみ」「スコープのみ」の更新・買い替えでも、組合せ次第で検査の質向上に貢献し、優れたコストパフォーマンスを発揮します。
・EVIS LUCERA ELITEは販売終了製品となります。
優れた画質と観察機能
極細径内視鏡でハイビジョンを実現できる時代に。高画質で日々のスクリーニング検査をサポートします。
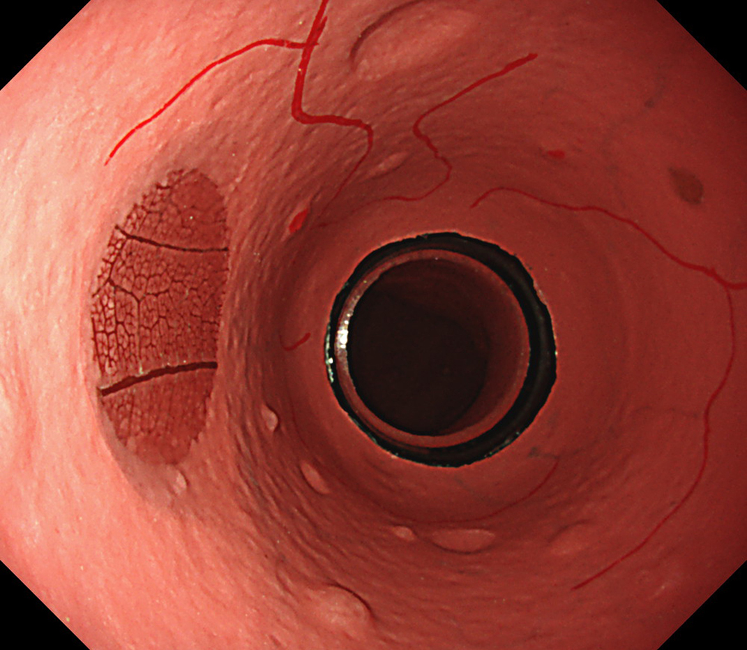
EVIS LUCERA ELITE × GIF1200N 症例画像
-
遠景部分において明るい視野が確保できる(病変の例)
-
遠景部分において明るい視野が確保できる(血管の例)
-
遠景部分において明るい視野が得られ、詳細な粘膜模様の観察が出来る範囲が広い
-
詳細な粘膜模様の観察範囲向上に貢献する
-
遠景まで明るく粘膜模様の観察に貢献する
-
遠景での粘膜模様の観察に貢献する
EVIS LUCERA ELITE × GIF-1200N 、EVIS X1 × GIF-H190N 什器比較画像
面順次式、同時式で色味の違いはありますが、どちらもハイビジョン画質にて観察可能です。
-
EVIS LUCERA ELITE×GIF-1200N
-
-
EVIS X1×GIF-H190N
-
豊富な観察機能
ハイブリッドプランでは発見率向上に貢献するTXI、鑑別診断に貢献するNBI、中遠景の暗部を明るくするBAI-MACなどの観察機能もご使用可能でございます。

